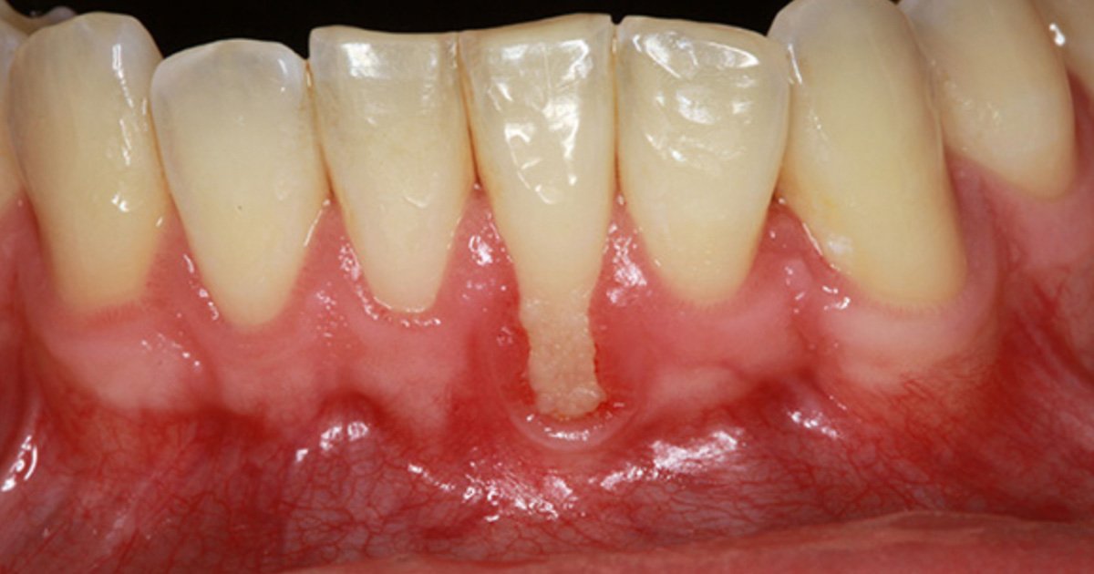
Gum recession is a common dental issue where the gum tissue pulls back from the tooth surface, exposing the roots and increasing sensitivity, decay risk, and aesthetic concerns. If left untreated, it may lead to serious periodontal problems. If you’re looking for safe, effective, and affordable gum recession treatment in Gurgaon, Exceldent – Multispecialty and Best Dental Clinic in Gurgaon offers expert care with modern technology.
What Causes Gum Recession?
Several factors can lead to receding gums, including:
- Gum disease (gingivitis or periodontitis)
- Aggressive tooth brushing
- Poor oral hygiene
- Smoking or tobacco use
- Misaligned bite or grinding of teeth
- Genetic predisposition
Signs You May Need Gum Recession Treatment
- Visible roots of your teeth
- Tooth sensitivity to hot, cold, or sweets
- Teeth appearing longer than usual
- Red, swollen, or bleeding gums
- Loose teeth or gum pockets
Gum Recession Treatment Options
- Scaling & Root Planing: Deep cleaning below the gum line to remove bacteria and tartar.
- Laser Therapy: Minimally invasive laser treatment to disinfect and reshape the gums.
- Pinhole Surgery Technique: A non-invasive method to reposition gum tissue without stitches.
- Gum Grafting: Surgical procedure to restore lost gum tissue using grafts from your mouth or a donor source.
Cost of Gum Recession Treatment in Gurgaon
The cost of gum recession treatment in Gurgaon varies based on the severity of the case, the number of affected teeth, and the treatment method used. Here’s a general estimate:
- Scaling & Root Planing: ₹1,500 – ₹4,000 per quadrant
- Laser Treatment: ₹3,000 – ₹8,000 per session
- Gum Grafting: ₹10,000 – ₹25,000 per tooth (depending on the type of graft and technique)
Why Choose Exceldent – Multispecialty and Best Dental Clinic in Gurgaon?
- Expert periodontists and gum care specialists
- Advanced laser and surgical technologies
- Personalized treatment plans
- Comfort-focused, painless procedures
- Transparent pricing with flexible payment options
Exceldent is known for delivering long-lasting and natural-looking results in gum restoration and periodontal care.
Book your consultation today to get expert guidance and restore your healthy smile!
How to Prevent Gum Recession
- Brush gently with a soft-bristled toothbrush
- Floss daily to remove plaque between teeth
- Visit your dentist regularly for checkups
- Avoid tobacco and manage teeth grinding
- Maintain a balanced diet and good oral hygiene habits
Gum recession is more than just a cosmetic issue — it can severely affect your oral health if ignored. If you are noticing signs of receding gums or sensitivity, don’t delay treatment. At Exceldent – Multispecialty and Best Dental Clinic in Gurgaon, we offer affordable and advanced solutions to treat gum recession effectively and safely.
Schedule your visit today and let our experts help you protect your gums and smile!
