Smile Makeover in Gurgaon
Transform your smile transform your life
A smile makeover is a comprehensive dental treatment plan that combines various cosmetic and restorative procedures to enhance the appearance of the smile. The goal is to achieve a more aesthetically pleasing and harmonious result. We offer best and affordable smile makeover services in Gurgaon, India.
Our team of experienced, qualified, board-certified cosmetic dentists works meticulously to create individualized smile procedures for every one of our clients. Our services are comprehensive, taking into account facial structure, shape, and more. Ready to get started? We can’t wait to hear from you.
Schedule a consultation with a smile makeover dentist in Gurgaon, today!
Smile makeovers are typically tailored to the individual’s specific needs and may involve a combination of the following procedures:
A smile makeover is a collaborative process between the patient and the dental team. It’s important for individuals considering a smile makeover to communicate their preferences and expectations with the dentist. Additionally, maintaining good oral hygiene practices and attending regular dental check-ups are essential for the long-term success of a smile makeover.
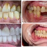
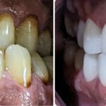
Smile Makeover Treatment in Gurgaon – Before & After Cases




Have Some Questions?
Your appointment is just a click away, you can book an appointment online or call us on +91-7982284551.
A smile makeover can address a wide range of dental concerns, including stained or discolored teeth, chipped or broken teeth, misaligned teeth, gaps between teeth, uneven gum lines, and more.
Individuals with multiple cosmetic or functional dental concerns who desire a significant improvement in the overall appearance of their smile are good candidates for a smile makeover. A thorough dental examination by a dentist is necessary to determine candidacy.
The duration of a smile makeover varies based on the complexity of the case and the number of procedures involved. It can take several weeks to several months to complete the entire treatment plan.
Most smile makeover procedures are performed under local anesthesia to minimize discomfort. Patients may experience mild soreness or sensitivity after certain procedures, but this is usually temporary.
The longevity of results depends on the specific procedures involved and how well the individual maintains their oral health. With proper care, results can last for many years. Regular dental check-ups and good oral hygiene are essential for maintaining the longevity of a smile makeover.
Yes, in addition to enhancing the appearance of the smile, a smile makeover can address functional issues such as bite problems, misalignment, and missing teeth, improving overall dental health and function.
Request a Callback
-
Is Dental Treatment in Gurgaon Affordable Compared to Other Cities?
Patients often compare dental treatment costs across cities before choosing where to receive care. With growing demand for quality healthcare, Gurgaon has emerged as a major hub for advanced dentistry. A common question remains — is dental treatment in Gurgaon affordable compared to other cities? At Exceldent, a trusted dental clinic in Sector 46, Gurgaon, patients receive high-quality dental care that balances affordability with clinical excellence. Factors That Influence Dental Treatment Costs Dental treatment costs vary based on several factors, regardless of location. Understanding these elements helps in making fair comparisons between cities. Type and Complexity of Treatment Simple procedures such as cleanings and fillings cost less than advanced treatments like implants, crowns, or orthodontics. The complexity of the dental condition significantly affects pricing. Technology and Materials Used Clinics using advanced digital imaging, high-quality materials, and modern equipment may have slightly higher costs but offer better accuracy, safety, and long-term -
Single Sitting Root Canal Treatment in Gurgaon
Exceldent - Single Sitting Root Canal Treatment in Gurgaon Root canal treatments have long been associated with multiple visits to the dentist, discomfort, and extended recovery times. But what if you could have this essential dental procedure completed in just one sitting? At Exceldent in Gurgaon, this is not only possible but also a seamless experience thanks to cutting-edge technology and the expertise of Dr. Esha Kapoor and her team. What is Single Sitting Root Canal Treatment? A root canal treatment is performed to remove infected or damaged pulp inside a tooth, preventing further decay or the need for extraction. Traditionally, this procedure would require multiple visits to the dentist. However, advancements in dental technology now allow for single sitting root canal treatments, offering: Convenience: Eliminates the need for multiple appointments. Efficiency: Saves time without compromising on quality. Reduced Discomfort: Modern techniques make the procedure faster and less invasive. Why
